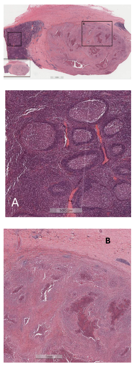
Question: I need some clarification for this histology question. I've attached an image and website of normal and abnormal lymph node slides. When describing a section,
I need some clarification for this histology question. I've attached an image and website of normal and abnormal lymph node slides. When describing a section, we begin with architecture. Could you please confirm if my understanding of the architecture description for this section is correct?
"The images show a section of a lymph node. In one part of the section, the lymph node architecture is conserved, with [cortical follicles or the medulla] clearly visible, but [cortical follicles or the medulla]is absent. In the remainder of the section, the normal architecture has been replaced by [a large disorganised mass, a large thrombus, a large neoplastic mass or a large inflammatory mass]
I believe it's: "The images show a section of lymph node. In one part of the section the lymph node architecture is conserved, with cortical follicles clearly visible but the medulla is absent. In the remainder of the section, the normal architecture has been replaced by a large inflammatory mass."
\fStep by Step Solution
There are 3 Steps involved in it
Get step-by-step solutions from verified subject matter experts
