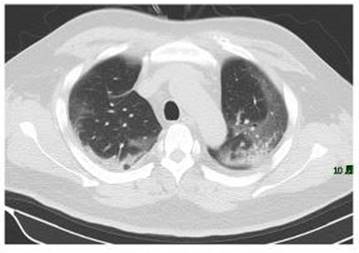
Question: Serious matlab help needed!! I am trying to perform image segmentation on a CT scan of the lung to detect COVID-19. I have 50 files
Serious matlab help needed!!
I am trying to perform image segmentation on a CT scan of the lung to detect COVID-19. I have 50 files all in one folder. The folder is already in the matlab path. Please help me... I've been struggling for hours. I attached one picture I am using that is titled 
Step by Step Solution
There are 3 Steps involved in it
Get step-by-step solutions from verified subject matter experts
