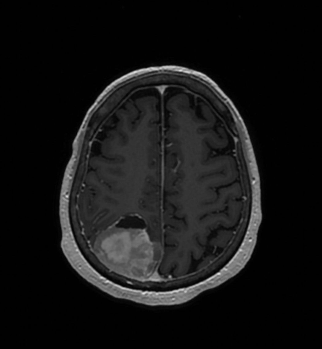
Question: Write a Matlab code that applies the region growing algorithm to segment a tumor in a medical image In no more than 3 pages, describe
Write a Matlab code that applies the region growing algorithm to segment a
tumor in a medical image
In no more than pages, describe the characteristics of following image file
formats: Bmp tif, png and DICOM. Summarize these characteristics in a table
to show the differences between different formats.
Step by Step Solution
There are 3 Steps involved in it
1 Expert Approved Answer
Step: 1 Unlock
Question Has Been Solved by an Expert!
Get step-by-step solutions from verified subject matter experts
Step: 2 Unlock
Step: 3 Unlock
